P - Lost Tooth Replacement
P lost her front tooth in an accident. This resulted in an implant retained crown. Here are the preop and the postop photos.
D- Porcelain Crown Replacement
D was in an accident and broke two of his front teeth. The teeth were restored using porcelain crowns.
C - Veneers
C was not happy with her teeth. I could not even get her to smile for the photos. She did not like the color and overall condition of her teeth. After reviewing options, she chose to proceed with porcelain veneers. Now she smiles broadly with no hesitation.
H - Bonding
H was not happy with the overall appearance of her smile. Had inquired about veneers but felt that would be too invasive. Instead of veneers, she opted for cosmetic bonding. The result was better than she expected, and did not necessitate the removal of any tooth structure
D - Crown
D was not pleased with the appearance of the crown on her lower front tooth. She did not like the fact that it did not match the color of the adjacent natural teeth. A new all ceramic crown was made for that tooth. She was thrilled with the final result.
Lumineers
This patient's front teeth were uneven and discolored. Lumineers were used to bring balance to the upper teeth as well as brighten her whole smile.
Lumineers
Lumineers helped give this patient a total smile makeover. They now feel confident sharing their beautiful new smile!
N - Dental Implant
N lost her front tooth in an accident. She wanted a solution that did not harm the adjacent teeth. The only solution in this situation is a dental implant. By working closely with an excellent surgeon in the area, we were able to give her a beautiful, lasting result. She also underwent tooth whitening to really brighten up her smile.
G- Bonding
G had just completed orthodontic treatment but was left with spaces between her front teeth. Undergoing braces again was not an option. She chose to go a more conservative route to close up the spaces. We closed the spaces and reshaped the front teeth through cosmetic bonding. In this case, the treatment is totally reversible. No tooth structure was removed. This is a great way to improve a smile without having to undergo a drill.
S - Veneers & Bonding
S never liked her front teeth. They were chipped and too small relative to her canines. To improve her smile, porcelain veneers and cosmetic bonding were used. She could not be happier with the final result.
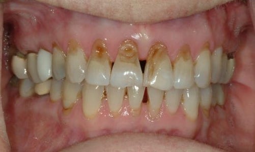
E - Crowns, Veneers, & Bridges
E was dissatisfied with her smile. Her teeth were multi-colored. Several were missing and replaced with bridges. The loss of her front lateral, the yellow tooth in the Before picture, prompted her to redesign her smile. Through porcelain crowns, veneers and bridges, we were able to give her a result that she was thrilled with.
J - Implant Retained Denture
J had a full upper bridge that was several years old. This bridge involved every upper tooth he had. There was no decay. However, his gum disease was worsening, to the point that removal of the bridge was necessary. Rather than dealing with a removable denture, he opted for an implant retained fixed upper denture.
Implant & Veneers
This patient had lost her front tooth several years ago in an accident. When she was finally able to address the problem, she chose to go with a dental implant. The Before picture shows the foundation for her new implant retained crown. The foundation is attached to the implant, which sits below the surface. To further improve the final result, she underwent gum surgery and veneer placement on the remaining 6 front teeth.
R- Veneers & Crowns
R came of us with discolored porcelain veneers and bonding that no longer matched her teeth. She wanted a more uniform, consistent appearance. We were able to give her the smile she desired through porcelain veneers and dental crowns.
N - Implant Denture
N suffered from severe periodontal or gum disease. In addition to the gum problems, she also presented with numerous areas of decay around her existing crowns. The mere replacement of her dental crowns would have improved the esthetics but there was still the gum problem that had to be dealt with. The solution was the extraction or removal of all her upper teeth, and replacement with an implant retained upper denture. The denture is strengthened by titanium and is fixed. She cannot remove that denture. It literally functions like natural teeth, and does not cover the roof of her mouth. This was a one-day procedure. She arrived at the surgeon’s office appearing as she did in the Before picture and left at the end of the day looking as she does in the After picture. We work very closely with the surgeon to ensure a comfortable, esthetic and functional result.
T - Dental Bridge
T came to our office with two poorly shaped crowns. These teeth were also periodontally involved, which necessitated their removal. Unable to undergo implant placement, she opted for a traditional fixed bridge. We were able to improve the color and shape of her front teeth. This can be a great solution for missing front teeth.
K - Veneers
K was dissatisfied with the appearance and condition of her upper four front teeth. As you can see in the Before photo, the teeth were misshapen and extremely small in size. These teeth were also badly chipped, which is not visible in the photograph. We were able to give K a great, lasting result through porcelain veneers.
J - Bonding & Veneers
J was dissatisfied with the appearance of her upper laterals and canines. She was pleased with the appearance and color of the rest of her teeth. Through cosmetic bonding and porcelain veneers, we were able to give J a result that she was thrilled with.
